
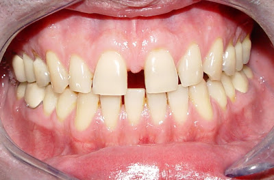
Los diastemas no son más que los espacios que existen entre un diente y otro, cuando estos se encuentran en el sector anterior de nuestra dentadura puede lacerar considerablemente la estética de nuestra sonrisa.
Estos espacios generalmente son producto de una desproporción entre el tamaño de los dientes y el de los maxilares.
Otra causa común de los diastemas es cuando existen frenillos labiales (son bandas de tejido conectivo fibroso, muscular o ambos, que unen el labio y las mejillas a la mucosa alveolar o a la encía y al periostio subyacente) prominentes de inserción baja.

Los diastemas pueden ser localizados o generalizados, siendo este último caso muy común y normal en los niños con dentición decidua, ya que los dientes primarios tienen menor dimensión que los permanentes.
¿Como podemos desaparecer esos desagradables espacios de nuestra sonrisa?
El tratamiento para deshacernos de esta calamidad dependerá de la dimensión del espacio que queremos cerrar. Si el espacio es pequeño se puede eliminar fácil y efectivamente en una consulta dental de rutina, utilizando resinas o composites estéticos que nos proporcionan un color igual al del diente a restaurar.


Se puede considerar el uso de carillas estéticas cuando exista un espacio moderado, cuando los espacios sean múltiples o están acompañados de otras alteraciones estéticas como cambio de color, giroversiones, etc. En estos casos es posible logar restauraciones estéticamente adecuadas y resistentes.

Si el espacio a reducir es tiene dimensiones muy extensa, se hace necesario el uso de tratamientos ortodonticos (brakerts), por un tiempo prudente para realizar producir un movimiento dental correcto.


Si el factor causal es la incidencia del frenillo bucal en la zona del diastema, se hace imperativo la eliminación quirúrgica del frenillo (frenectomía). Este proceso quirúrgico es sencillo y facil de realizar en consulta.
Si se determina que la causa del espacio es creada por algún habito del paciente, es importante eliminar el factor causal previo a la restauración.
Dra. Glennys E. Duval
odontocenter@gmail.com
Av. Núñez de Cáceres #58,
los prados, Santo Domingo, D.N.
809-476-9260
809-963-6825
yo tengo un espacio de tres milímetros, se puede poner carillas?
ResponderEliminar